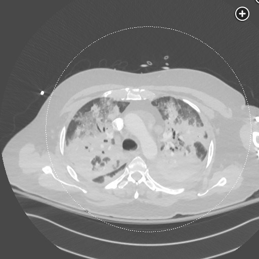
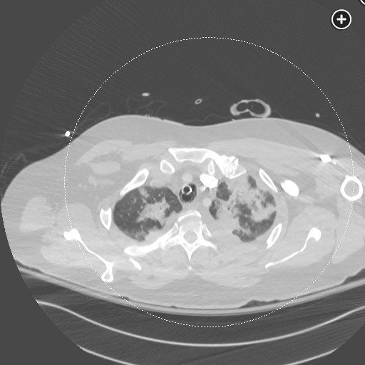
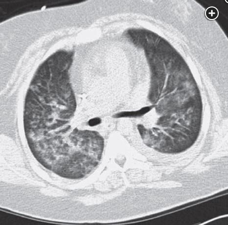
DAH CT finding includes consolidation or ground glass opacities related: DAH diffuse alveolar hemorrhage tags: #literature #pulmonology ground glass: consolidations: 1 Links to this note DAH diffuse alveolar hemorrhage DAH CT finding includes consolidation or ground glass opacities Footnotes SEEK Questionnaires ↩