tamponade ultrasound findings
- related: pericardial effusion with tamponade physiology
- tags: #literature #cardiology
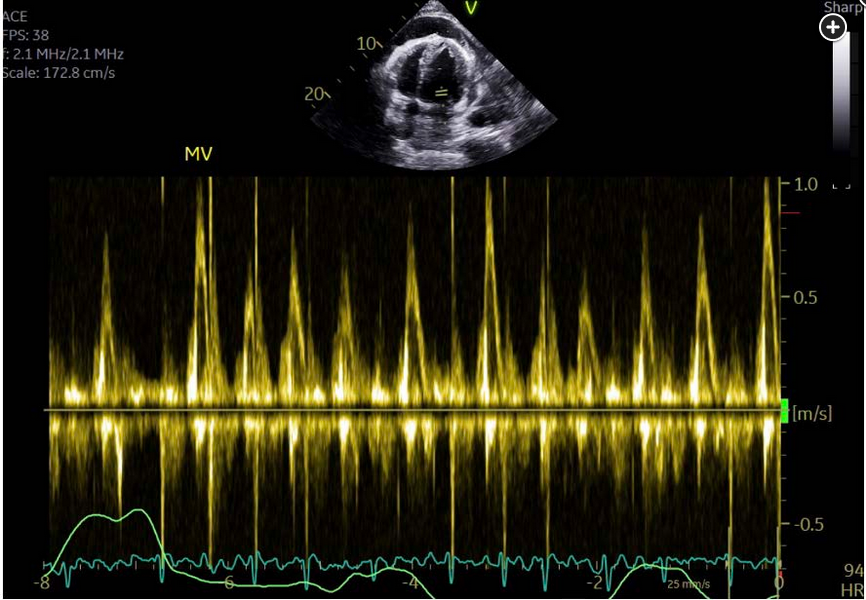
Still images of the echocardiogram show a four-chamber view demonstrating a large anterior pericardial effusion (Figure 1) and significant respirophasic variation of mitral valve inflow (Figure 2). The variation in mitral (and tricuspid) inflow with respiration has the same mechanism as pulsus paradoxus.

Mitral inflow velocity variation greater than 25% and tricuspid inflow velocity variation greater than 40% are considered significant and thus indicate a hemodynamically significant effusion. RV collapse in diastole is the echocardiographic hallmark of frank tamponade.12